-

老人手术时导丝断裂掉进血管 医院:外科取出意义不大,补偿8000元
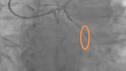
封面新闻记者 石伟 9月28日,河南汝州的高女士反映,她的父亲在河南省胸科医院手术时,手术用的导丝末...
欧意交易所 2025-09-29 11
-

体温表在体内断裂,女子时隔22年彻底取出!医生:庆幸水银不在里面
前不久,武汉市民胡女士在体检时意外发现,体内有一截断裂的异物,这让她倍感困惑 —— 这异物究竟是何时...
欧意交易所 2025-09-02 25
-

整整37颗!云南4岁孩子身体里取出……医生紧急提醒!
磁力珠色彩绚丽、玩法多样,深受小朋友喜爱。但如果误食,后果却会很严重。 近日,丽江市人民医院接收了一...
欧易全球主流交易平台 2025-06-17 17
